| Helitaanka: | |
|---|---|
| Tirada: | |
MCI0215
Fool
|
MCI0215 128-jeexis CT:
MCI0215 128-jeexitaan CT Scanner ma ahan oo keliya skaanka CT; Waa Axdooyin cusub oo hal-abuurnimo iyo heer sare ah sawirka ogaanshaha. Bixinta saxnaan gaar ah oo karti leh, 128-jeex oo la yaab leh ayaa si aan kala go 'lahayn u dhexgeliyaa shucaaca caafimaad, oo bixiya tayada sawirrada si weyn hoos loogu dhigay qiyaasta shucaaca si weyn hoos loogu dhigay qiyaasta shucaaca si weyn hoos loogu dhigay Laga soo bilaabo shaqo-qaadka qulqulaya ee ku-meel-gaarka ah ee loo yaqaan 'AI-Horumar' ee AI-AI -211 128-Section CT Scanner scanner wuxuu u taagan yahay gogosha tikniyoolajiyadda sawirka ogaanshaha.
| Faraxyada dhiigga ee ka dib-ups-ka kululeeya:
1.
Sare u qaad awoodahaaga ogaanshaha ee MCI0215 128-scanner scanner scanner, gaarsiinta saxnaanta iyo caddeynta ee sawirka. Ka faa'iideyso heer aan caadi ahayn oo faahfaahin ah, oo u oggolaanaya fikradaha dhameystiran ee labada qaab dhismeedka jirka iyo dhaqdhaqaaqa firfircoon.
2.
MCI0215 128-Section scanner scanner wuxuu u taagan yahay udgoon heer sare ah oo caafimaad ah. Si aan kala go 'lahayn ayaa ku dhex-galaya shucaaca caafimaad ee joogtada ah, oo bixiya kaliya xalka saadka ee sareeya laakiin sidoo kale si weyn ayaa loo yareeyaa qiyaasta shucaaca. Khibrad u yeelo qaab isbadal ah si loo sameeyo daraasadaha horumarsan ee laga helo takhasusyada caafimaad ee kaladuwan.
3. Kartida qulqulka qulqulaya:
Tayerta Tayerta Tayerta Tayerta ee Shaqada Baadhitaanka ee MCI0215 128-Scanner CT Scanner. Scanner-kan ee horumarsan ma ahan oo keliya qalab; Waa xalka ogaanshaha ee ogaanshaha. Daraasadaha joogtada ah ee Streamline-ka si dadaalla'aan ah, hubinta qaddarka shucaaca ee hooseeya, ku darista sawirka muuqaalka muuqaalka ah, iyo ka-hortagga shaqo-qaadka wadnaha ee wadnaha, carruurta, iyo xaaladaha daryeelka degdegga ah.
Kordhinta Farsamada
4. Qiimaha Premium ee sawirka:
Naftaada ku dhexjirow naftaada sarkaalka sawirka wanaagsan ee leh MCI0215 128-scanner scanner. Waxaa loo hubaa in nidaamka CT-ga Premium CT, ay dammaanad qaadaan la-talin, tayo sare oo muuqaal ah, iyo awoodo horumarsan. Qabashada mustaqbalka sawirka ogaanshaha ee nidaam loogu talagalay in lagu buuxiyo caqabadaha isbeddelaya.
5. Silsiladda sawirka-casriga ah:
MCI0215 128-Sec scanner scanner scanner wuxuu ku faanaa silsilad-farshaxanka farshaxanka ee farshaxanka, oo muujinaya jiil cusub oo ah propimavetm proteple, oo ah matoor Premium HV, iyo tuubada raajada. Tani kaliya ma hubinayso waxqabadka ugu sarreeya laakiin waxay sidoo kale dejisaa halbeeg cusub oo loogu talagalay saxnaanta ogaanshaha, iyadoo la siinayo dhakhaatiirta kalsooni aan kala go 'lahayn ee baaritaanka.
6. Kordhinta shaqo-xumada ee AI-Wado
Khibrad u leh awooda hufnaanta ee MCI0215 128-Section CT Scanner's Scanner ee AI-WadoGlow. Laga soo bilaabo meelaynta bukaanka saxda ah ee lagu dhisayo kaalmada ogaanshaha, sirdoonka macmalka ah waxay sare u qaadeysaa hufnaanta imtixaanka oo kor u qaadaya saxnaanta ogaanshaha. Si aan fiicnayn u socodo iyada oo loo marayo habraacyada sirdoonka si isdaba joog ah loogu daro tallaabo kasta.
7. Qiyaasta saxda ah:
Saxnaanta waxay la kulmaysaa hal-abuurnimo nidaamka ackeusitions. Waxay ku sii fidisay waxbarasho qoto dheer, waxay si otomaatig ah u aqoonsan tahay aqoonsiga booska booska, oo bixiya booska saxda ah ee bukaanka. Heerka Hawlaha, yaree qiyaasta shucaaca, iyo kor u qaadida tayada ijaarka ee kor u qaadida salka ku haya.
8. Fikirka sare-daacadnimada ee AI:
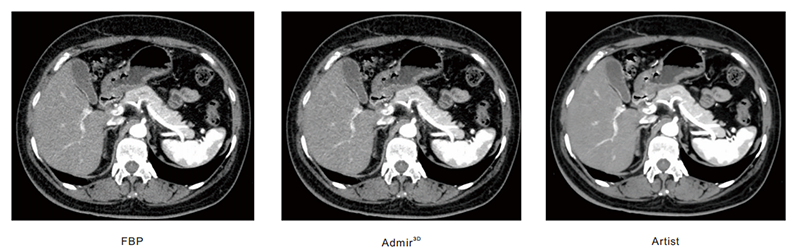
Naftaada ku dhex-dhexaadin ku dhexjirta aragtida sare ee sawirka fanka, oo uu wado AI. U fiirsashada iyo socodsiinta sawirrada-qiyaasta-cabirrada, farshaxanku wuxuu ilaaliyaa faahfaahinta xayeysiinta xitaa qiyaasta qiyaasta yar ee ultra-hoose. Markhaati marayada cusub ee sawirrada caafimaad ee xalka sare leh oo leh caddeyn aan horay loo arag.
9.
Sahamin suurtagalnimada ogaanshaha baaritaanka ee sawirka muuqaalka AI-FARSAMADA. MCI0215 128-Section Ct Scanner wuxuu u adeegsadaa iska-beddelka korantada-dabacsan, algorithms-ka dib-u-dhiska, iyo tamarta xisbiga dib-u-dhiska, gaarsiinta noocyo kala duwan oo codsiyo horumarsan oo ku saabsan aragtiyaha caafimaad ee dhameystiran.
|
128 Cadle Cle Skaanka Sawirka Sawirka CT
|
MCI0215 128-jeexis CT:
MCI0215 128-jeexitaan CT Scanner ma ahan oo keliya skaanka CT; Waa Axdooyin cusub oo hal-abuurnimo iyo heer sare ah sawirka ogaanshaha. Bixinta saxnaan gaar ah oo karti leh, 128-jeex oo la yaab leh ayaa si aan kala go 'lahayn u dhexgeliyaa shucaaca caafimaad, oo bixiya tayada sawirrada si weyn hoos loogu dhigay qiyaasta shucaaca si weyn hoos loogu dhigay qiyaasta shucaaca si weyn hoos loogu dhigay Laga soo bilaabo shaqo-qaadka qulqulaya ee ku-meel-gaarka ah ee loo yaqaan 'AI-Horumar' ee AI-AI -211 128-Section CT Scanner scanner wuxuu u taagan yahay gogosha tikniyoolajiyadda sawirka ogaanshaha.
| Faraxyada dhiigga ee ka dib-ups-ka kululeeya:
1.
Sare u qaad awoodahaaga ogaanshaha ee MCI0215 128-scanner scanner scanner, gaarsiinta saxnaanta iyo caddeynta ee sawirka. Ka faa'iideyso heer aan caadi ahayn oo faahfaahin ah, oo u oggolaanaya fikradaha dhameystiran ee labada qaab dhismeedka jirka iyo dhaqdhaqaaqa firfircoon.
2.
MCI0215 128-Section scanner scanner wuxuu u taagan yahay udgoon heer sare ah oo caafimaad ah. Si aan kala go 'lahayn ayaa ku dhex-galaya shucaaca caafimaad ee joogtada ah, oo bixiya kaliya xalka saadka ee sareeya laakiin sidoo kale si weyn ayaa loo yareeyaa qiyaasta shucaaca. Khibrad u yeelo qaab isbadal ah si loo sameeyo daraasadaha horumarsan ee laga helo takhasusyada caafimaad ee kaladuwan.
3. Kartida qulqulka qulqulaya:
Tayerta Tayerta Tayerta Tayerta ee Shaqada Baadhitaanka ee MCI0215 128-Scanner CT Scanner. Scanner-kan ee horumarsan ma ahan oo keliya qalab; Waa xalka ogaanshaha ee ogaanshaha. Daraasadaha joogtada ah ee Streamline-ka si dadaalla'aan ah, hubinta qaddarka shucaaca ee hooseeya, ku darista sawirka muuqaalka muuqaalka ah, iyo ka-hortagga shaqo-qaadka wadnaha ee wadnaha, carruurta, iyo xaaladaha daryeelka degdegga ah.
Kordhinta Farsamada
4. Qiimaha Premium ee sawirka:
Naftaada ku dhexjirow naftaada sarkaalka sawirka wanaagsan ee leh MCI0215 128-scanner scanner. Waxaa loo hubaa in nidaamka CT-ga Premium CT, ay dammaanad qaadaan la-talin, tayo sare oo muuqaal ah, iyo awoodo horumarsan. Qabashada mustaqbalka sawirka ogaanshaha ee nidaam loogu talagalay in lagu buuxiyo caqabadaha isbeddelaya.
5. Silsiladda sawirka-casriga ah:
MCI0215 128-Sec scanner scanner scanner wuxuu ku faanaa silsilad-farshaxanka farshaxanka ee farshaxanka, oo muujinaya jiil cusub oo ah propimavetm proteple, oo ah matoor Premium HV, iyo tuubada raajada. Tani kaliya ma hubinayso waxqabadka ugu sarreeya laakiin waxay sidoo kale dejisaa halbeeg cusub oo loogu talagalay saxnaanta ogaanshaha, iyadoo la siinayo dhakhaatiirta kalsooni aan kala go 'lahayn ee baaritaanka.
6. Kordhinta shaqo-xumada ee AI-Wado
Khibrad u leh awooda hufnaanta ee MCI0215 128-Section CT Scanner's Scanner ee AI-WadoGlow. Laga soo bilaabo meelaynta bukaanka saxda ah ee lagu dhisayo kaalmada ogaanshaha, sirdoonka macmalka ah waxay sare u qaadeysaa hufnaanta imtixaanka oo kor u qaadaya saxnaanta ogaanshaha. Si aan fiicnayn u socodo iyada oo loo marayo habraacyada sirdoonka si isdaba joog ah loogu daro tallaabo kasta.
7. Qiyaasta saxda ah:
Saxnaanta waxay la kulmaysaa hal-abuurnimo nidaamka ackeusitions. Waxay ku sii fidisay waxbarasho qoto dheer, waxay si otomaatig ah u aqoonsan tahay aqoonsiga booska booska, oo bixiya booska saxda ah ee bukaanka. Heerka Hawlaha, yaree qiyaasta shucaaca, iyo kor u qaadida tayada ijaarka ee kor u qaadida salka ku haya.
8. Fikirka sare-daacadnimada ee AI:
Naftaada ku dhex-dhexaadin ku dhexjirta aragtida sare ee sawirka fanka, oo uu wado AI. U fiirsashada iyo socodsiinta sawirrada-qiyaasta-cabirrada, farshaxanku wuxuu ilaaliyaa faahfaahinta xayeysiinta xitaa qiyaasta qiyaasta yar ee ultra-hoose. Markhaati marayada cusub ee sawirrada caafimaad ee xalka sare leh oo leh caddeyn aan horay loo arag.
9.
Sahamin suurtagalnimada ogaanshaha baaritaanka ee sawirka muuqaalka AI-FARSAMADA. MCI0215 128-Section Ct Scanner wuxuu u adeegsadaa iska-beddelka korantada-dabacsan, algorithms-ka dib-u-dhiska, iyo tamarta xisbiga dib-u-dhiska, gaarsiinta noocyo kala duwan oo codsiyo horumarsan oo ku saabsan aragtiyaha caafimaad ee dhameystiran.
|
128 Cadle Cle Skaanka Sawirka Sawirka CT