Views: 98 Author: Site Editor Publish Time: 2025-10-17 Origin: Site
As a healthcare provider or medical equipment supplier, you appreciate that precise tools are fundamental to accurate diagnosis and quality patient care. Among the most essential devices in modern diagnostic medicine is the CT scan machine. Renowned for its diagnostic precision, the CT scan machine is essential for identifying a comprehensive range of medical conditions with unmatched clarity. This capability makes it a critical investment for leading hospitals, clinics, and diagnostic centers.
Whether you're upgrading your imaging capabilities or exploring the clinical applications of CT technology, this guide demystifies how CT scan machines diagnose conditions ranging from traumatic injuries to complex diseases.
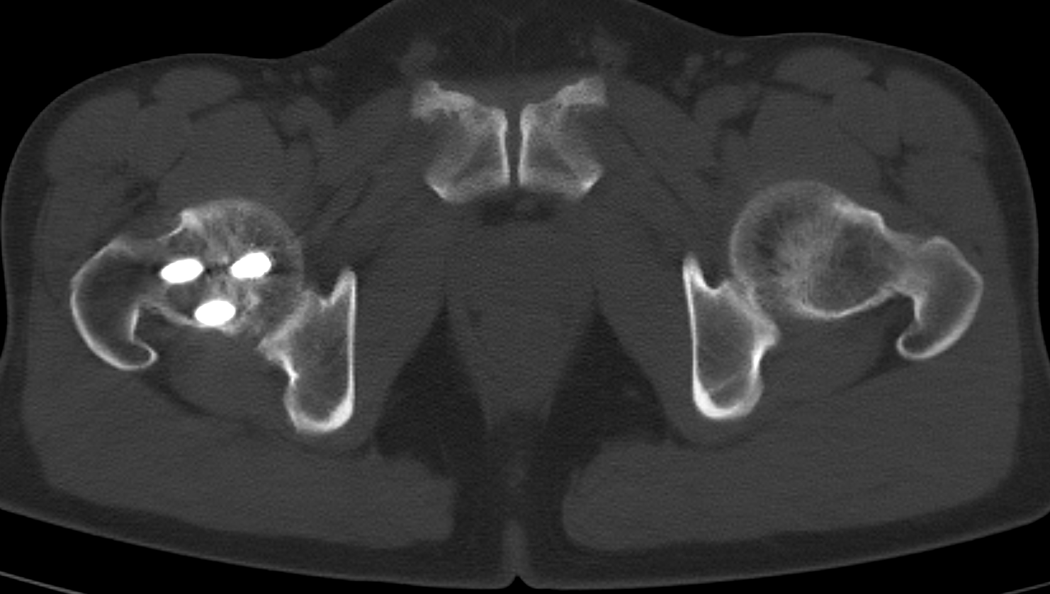
One of the most common uses of a CT scan machine is evaluating trauma and injuries, particularly those affecting bones, joints, and soft tissues.
A CT scan machine can reveal:
Fractures
A CT scan machine is essential for quickly assessing fractures — such as broken ribs, skull fractures, or spinal injuries — from traumas like car accidents or falls. It provides detailed images that can reveal breaks invisible on traditional X-rays, which help doctors see if bones are displaced or if nearby tissues (like muscles or nerves) are damaged.

Internal bleeding
The internal bleeding is a life-threatening issue that may not show symptoms immediately. The CT scan machine can detect the presence of blood pooling in body cavities — such as the abdomen or chest — as well as identify ruptured blood vessels. It also helps visualize the extent of hemorrhaging, guiding critical decisions about urgent interventions, whether surgical, embolization, or other life-saving treatments to control bleeding.
Joint Disorders
A CT scan provides detailed images that are crucial for diagnosing joint-related conditions such as arthritis, degenerative changes, and bone spurs — all potential sources of pain and restricted mobility. By clearly revealing the extent of damage within the joint, it enables clinicians to accurately assess severity and make informed decisions regarding treatment, whether that involves physical therapy, medication, or surgical intervention.


For instance, after a car accident, a CT scan can quickly identify any skull fractures or internal bleeding, guiding doctors to make informed decisions about treatment.
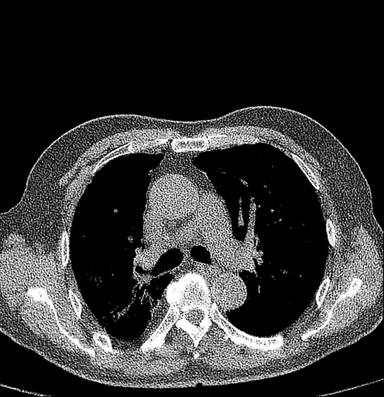
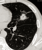
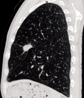
A CT scan machine plays a pivotal role in cancer detection and evaluation. Doctors often use CT scan machines to detect tumors, determine whether cancer has spread (metastasized) to other parts of the body, and assess their size.
Tumor Detection
CT scan machines can spot abnormal growths (tumors) in organs like the lungs, liver, pancreas, and colon. For example, a low-dose CT scan is often used for lung cancer screening in high risk groups (e.g., long-term smokers), as it can detect small nodules that might be cancerous.


Cancer Staging
Once a tumor is detected, a CT scan is used to evaluate the extent of cancer metastasis. By generating detailed cross-sectional images of the body, CT scan machines allow doctors to identify whether the cancer has invaded adjacent tissues, lymph nodes, or distant organs — information critical for accurate cancer staging. This precise mapping of affected regions enables clinicians to develop an optimized treatment strategy, which may include surgery, radiation therapy, or chemotherapy.



Treatment Effectiveness Monitoring
CT scan machines deliver clear, detailed images that enable physicians to monitor changes in a tumor’s size and structure over time. By comparing scans taken before, during, and after treatment, doctors can evaluate whether the tumor is shrinking, stable, or growing — offering critical insight into the effectiveness of chemotherapy, radiation, or targeted therapies. These scans can also detect new metastatic lesions, allowing for timely adjustments to the treatment plan when needed.
Beyond simple imaging, a CT scan machine acts as a critical diagnostic partner in cardiology, delivering detailed visualizations that empower clinicians to detect, diagnose, and monitor complex cardiovascular conditions with confidence. Cardiovascular diseases can be detected:
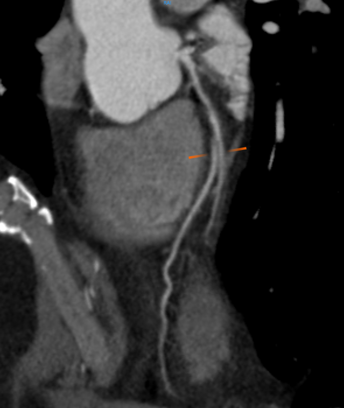
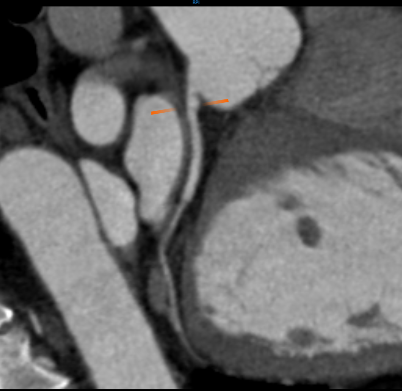
Coronary Artery Disease (CAD)
CT scan machines provide detailed images of the coronary arteries — the vessels that supply blood to the heart — enabling doctors to detect even early-stage plaque buildup, narrowing, or blockages that can restrict blood flow. By clearly revealing the location and severity of these obstructions, CT imaging helps guide treatment decisions, such as whether medication, angioplasty, or surgery is most appropriate. It also supports long-term monitoring of coronary artery disease progression, ultimately improving patient outcomes and reducing the risk of heart attacks.


Aneurysms
An aneurysm is an abnormal bulge or weakened area in the wall of a blood vessel. Using detailed CT imaging, doctors can accurately visualize the size, shape, and precise location of an aneurysm — whether in the brain, aorta, or other vessels. This enables early diagnosis before a potential rupture, which is critical for preventing life-threatening complications. CT scan machines also help evaluate rupture risk by tracking growth over time and guide decisions regarding treatment, such as surgery, endovascular stent placement, or continued monitoring.
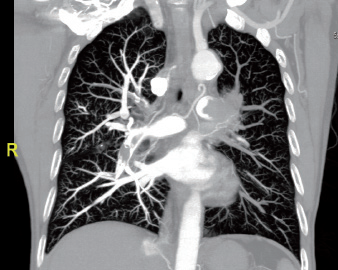
Blood Clots
CT scans are essential for rapidly detecting blood clots in critical areas such as the lungs (pulmonary embolism), brain (acute stroke), and deep veins (deep vein thrombosis). They 
Beyond diagnosis, CT scans play a crucial role in planning and guiding complex surgical procedures. From tumor resections to operations on delicate anatomical structures, CT imaging provides a detailed roadmap that enhances surgical precision and safety. For example:
Surgery planning
Whether for removing a tumor, repairing a damaged organ, or navigating complex anatomical areas (e.g., brain, spine), the CT scan machine helps doctors visualize critical details, such as proximity to vital blood vessels, nerves, or other tissues. This precise mapping enables surgeons to plan the most effective and least invasive approach, reducing surgical risks and improving outcomes.
Biopsy Guidance
CT imaging guides doctors during biopsies by precisely targeting abnormal tissue or tumors, ensuring accurate needle placement while minimizing risk to surrounding healthy structures. This enhanced precision increases the likelihood of retrieving a diagnostically viable sample, reduces the chance of complications, and supports more reliable diagnoses — ultimately improving patient safety and outcomes.
In conclusion, the CT scanner plays an indispensable role in modern healthcare. Its contributions are vast: from swiftly diagnosing hidden injuries and guiding complex surgeries to monitoring the effectiveness of cancer therapy. By offering a non-invasive glimpse inside the body with remarkable clarity, this technology empowers doctors to make more informed decisions, leading to earlier interventions and better patient care. The ongoing advancements in CT imaging continue to enhance its precision and safety, solidifying its position as a cornerstone of medical diagnostics for years to come.