DETAIL
You are here: Home » News » Industry News » Key Points in the Ultrasound Diagnosis of Liver Cysts

Key Points in the Ultrasound Diagnosis of Liver Cysts

Views: 0     Author: Site Editor     Publish Time: 2023-03-06      Origin: Site

Inquire

facebook sharing button
twitter sharing button
line sharing button
wechat sharing button
linkedin sharing button
pinterest sharing button
whatsapp sharing button
sharethis sharing button

封面


The liver is known as the general of the human body and it is often said that "nourishing the liver is nourishing life", which shows the close relationship between the liver and human health.


As an ultrasonographer, one of the most frequent names for liver cysts comes up during ultrasound examinations of patients.


Hepatic cysts are relatively common cystic lesions of the liver and are broadly classified into two categories: congenital and acquired. The exact cause is not known and the cysts can be one or more, varying in size from just a few millimeters.


图一

Smaller cysts of just a few millimeters


When the cyst grows to a certain size, it can cause symptoms such as discomfort and vague pain in the right upper abdomen due to pressure on the adjacent internal organs. In rare cases, the cyst may rupture and cause acute abdominal pain.


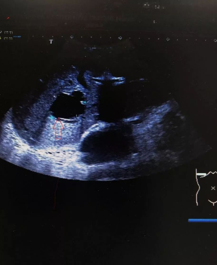
Ultrasound typical presentation:

A liver cyst may appear as one or more round or round-like anechoic areas, well-defined, with a smooth and thin envelope and hyperechoic margins, with signs of loss of lateral wall echogenicity and enhanced echogenicity behind the cyst.


图二

Echo-free interior of liver cyst


If the patient has a parasitic infection, cysts caused by parasites can sometimes be seen as calcifications.


It is also important to note that larger cysts may have thickened walls with increased echogenicity and thin, strongly echogenic bands of separation within the cyst. When the cyst is hemorrhagic or infected, there may be small dotted echogenicity within the cyst, which may shift in position with changes in body position.


Color Doppler:

There is usually no colored blood flow signal in liver cysts, and in large cysts, the cyst wall may show a small amount of dotted or thin strips of colored blood flow signal, and spectral Doppler ultrasound detection is mostly venous blood flow or low resistance arterial blood flow signal.


Differential diagnosis:

How can we be more certain and diagnose a disease such as liver cysts, which requires us to differentiate other diseases with similar ultrasound presentation to liver cysts. Sonographically, liver cysts should be distinguished from liver abscesses, liver encapsulation and intrahepatic vessels.


1. Liver abscess.

On 2D ultrasound it is mostly hypoechoic mass-like, the liquefied pus inside can move with the change of position, and the cyst wall is relatively thick and surrounded by a slightly hyperechoic circle of inflammatory reaction.


2. Hepatic encystment.

There is usually a history of exposure to the epidemic area, and although it may appear as a cystic lesion on the sonogram, it may show manifestations such as a capsule within a capsule or the grape bunch sign, and the thicker capsule wall may show double-layered changes.


3. Intrahepatic vessels.

There is no posterior echogenic enhancement and the morphology varies with the ultrasound cross-section. The cyst, being round, has a round or circular-like cross-section regardless of how the angle of probe rotation changes, whereas the intrahepatic vessels are circular in cross-section, and once the probe is rotated 90 degrees, the elongated vessel wall can be seen. The intrahepatic vessel cross-section is filled with colored blood flow signals using color Doppler.


These are the contents of today's sharing, I hope it is useful for you. As well as the excellent Ultrasound machines, MCI0580 and MCI0581 available from MeCan, here are their liver images.

图三


If you would like further information on our products, please contact us on our website or find us at

Facebook: Guangzhou MeCan Medical Limited

WhatsApp: +86 18529426852